Лікар-пульмонолог Джон Вілсон у своєму тексті для The Guardian пояснює вплив Covid-19 — від ситуацій, коли немає ніяких симптомів, до важких випадків із пневмонією.
Хвороба, яка згодом стала відома як Covid-19, або коронавірус, почалася наприкінці 2019 року як скупчення випадків пневмонії з невідомою причиною. Згодом стало зрозуміло, що причина у новому вірусі — важкий гострий респіраторний синдром коронавірус 2 або Sars-CoV-2. Хвороба, викликана цим вірусом, має назву Covid-19.
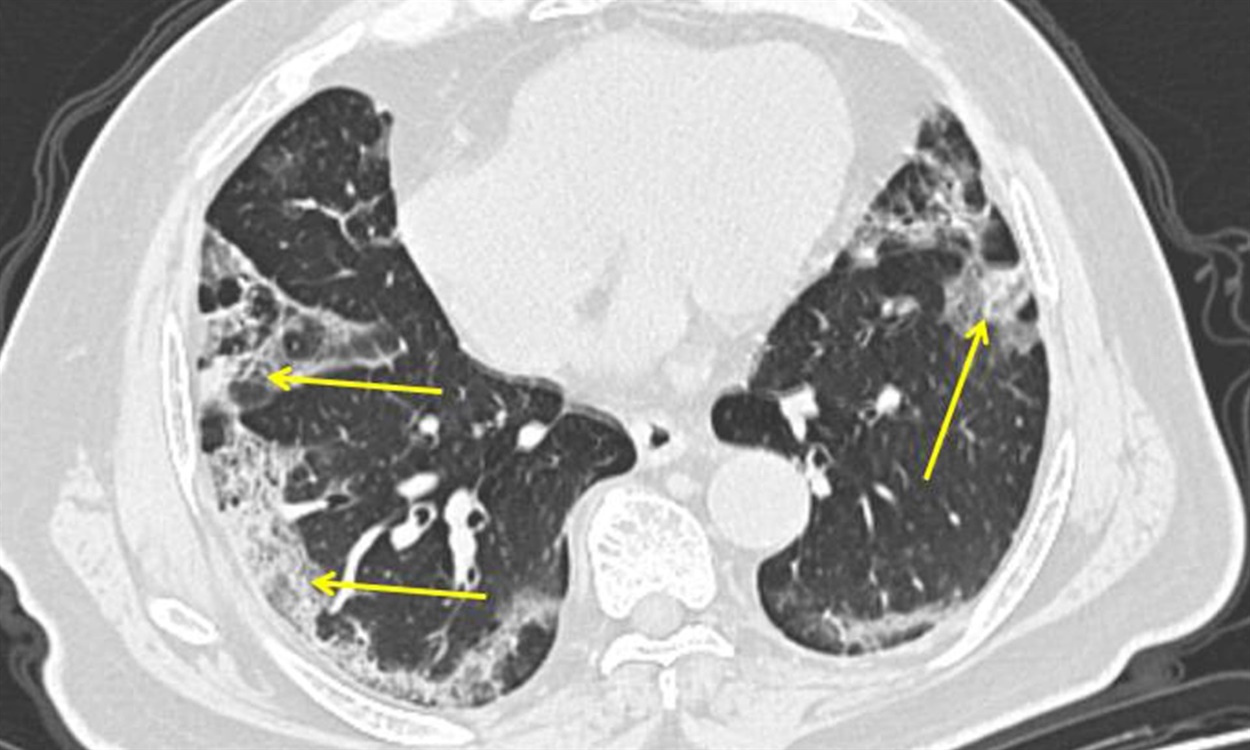
КТ-знімок людини, хворої на коронавірус. Пневмонія, спричинена новим важким гострим респіраторним коронавірусом, може проявлятись як характерні мутні плями на зовнішніх краях легень, позначені стрілками
Наразі ця хвороба має статус пандемії, однак більшість людей, які перенесли Covid-19, мали лише незначні, схожі на застуду, симптоми. У ВООЗ зазначають, що близько 80% людей одужують, не потребуючи спеціального лікування. Лише приблизно один із шести випадків дійсно проходить у важкій формі.
Тож як Covid-19 може перерости у більш серйозне захворювання із пневмонією, і що цей вірус робить із нашими легенями та рештою тіла?
Як вірус вражає людей?
Редакція Guardian Australia поспілкувалася з професором Джоном Вілсоном — президентом Королівського австралійського коледжу лікарів та лікарем-пульмонологом.
Він розповів майже про всі серйозні наслідки пневмонії через Covid-19. За його словами, людей, які інфікуються Covid-19, можна розподілити на чотири великі категорії.
У найлегшій формі хвороба проходить у людей, які мають вірус, але не мають симптомів. Далі йдуть ті, у кого інфекція потрапляє у верхні дихальні шляхи. Це «означає, що у людини температура та кашель, і, можливо, більш легкі симптоми, такі як головний біль або кон’юктивіт». Люди з такими симптомами все ще здатні передавати вірус, але можуть не знати про це.
Найбільша група тих, хто матиме позитивний результат тесту на Covid-19, і людей, які, швидше за все, опиняться в лікарнях, — це ті, хто має симптоми схожі на грип, які зазвичай не дають їм працювати.
У четвертої групи хвороба матиме своїм наслідком пневмонію.
«В Ухані з’ясувалося, що з тих, хто отримав позитивний результат тестування і звернувся за медичною допомогою, приблизно 6% мали важку форму хвороби».
У ВООЗ стверджують, що люди похилого віку та люди, що мають супутні проблеми, такі як високий артеріальний тиск, проблеми з серцем та легенями або діабет, мають більше шансів перехворіти важкою формою.
Як розвивається пневмонія?
Коли у людей з Covid-19 розвивається кашель і висока температура, це результат інфекції, що потрапляє до дихальних шляхів — а саме до бронхіального дерева. Його вистилка травмується та викликає запалення. Це в свою чергу подразнює нерви в оболонці дихальних шляхів. І навіть звичайний пил може стимулювати кашель.
Якщо ситуація погіршиться, інфекція потрапляє до всіх структур, які беруть участь в газообміні. Таким чином збудник інфекції опиняється у повітряних мішечках (альвеолах) на дні легенів. Якщо вони потім запалюються, це викликає потрапляння рідини та клітин в легені — і все закінчується пневмонією.
Легені, які заповнюються таким матеріалом, не в змозі передавати достатньо кисню в кров — це знижує здатність організму приймати кисень і позбавлятися від вуглекислого газу. Це типова причина смерті через важку пневмонію.
Як можна лікувати пневмонію?
«На жаль, поки що у нас немає ніяких ліків, які б зупинили поширення пневмонії через Covid-19», — розповіла професор Крістін Дженкінс, голова науково-дослідної організації Lung Foundation Australia та провідний лікар-пульмонолог.
«Люди вже випробовують всілякі ліки, і ми сподіваємось, що зможемо виявити, комбінації вірусних та противірусних препаратів, які можуть бути ефективними. Наразі не існує встановленого лікування, окрім підтримуючого, яке ми надаємо людям в реанімації. Ми забезпечуємо вентиляцію легень і підтримуємо високий рівень кисню, поки легені не зможуть знову нормально функціонувати після відновлення».
Джон Вілсон зазначає, що пацієнти з вірусною пневмонією також ризикують отримати вторинні інфекції, тож їх також будуть лікувати противірусними препаратами та антибіотиками.
Чи відрізняється пневмонія Covid-19?
За словами Крістін Дженкінс, пневмонія Covid-19 відрізняється від найбільш поширених випадків, з якими люди потрапляють до лікарень.
«Більшість типів пневмонії, про які ми знаємо, і з якими ми приймаємо людей до лікарні, є бактеріальними, і вони реагують на антибіотик».
Як зазначає Джон Вілсон, є докази того, що пневмонія, викликана Covid-19, може бути особливо важкою. У випадку коронавірусної пневмонії, як правило, вражені усі легені, а не лише невеликі частини.
«Після того, інфекція вже в легенях, і якщо охоплює і альвеоли, то перша реакція організму — намагання знищити вірус і обмежити його реплікацію». Але цей «механізм швидкого реагування» може бути порушений у деяких групах, включаючи людей з серцевими та легеневими захворюваннями, діабетом та людей похилого віку.
Зазвичай на пневмонію ризикують захворіти люди віком від 65 років, а також люди з такими захворюваннями, як діабет, рак або хронічні захворювання, що вражають легені, серце, нирки або печінку, курці, немовляти віком 12 місяців і менше.
«Вік є головним провісником ризику смерті від пневмонії. Пневмонія завжди є серйозною для літньої людини і насправді вона була однією з головних причин смерті людей похилого віку. Важливо пам’ятати, що незалежно від того, наскільки ви здорові та активні, ризик отримати пневмонію з віком збільшується. Все тому, що наша імунна система природно слабшає з віком, що ускладнює нашому тілу боротьбу з інфекціями та хворобами».

